Kalendergewinnspiele
Hier finden Sie die Lösungen für die bereits vergangenen Monate.
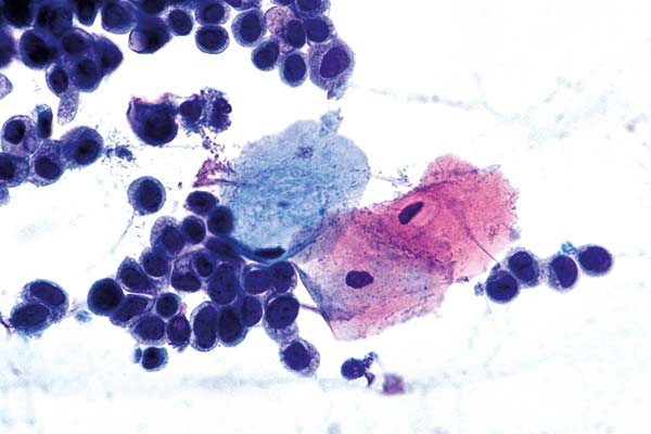
2017
Dezember
richtige Antwort:
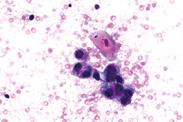
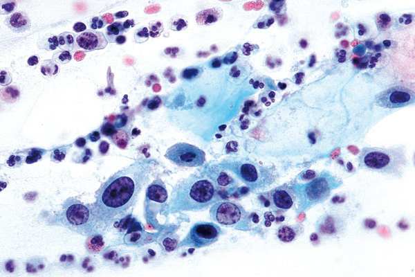
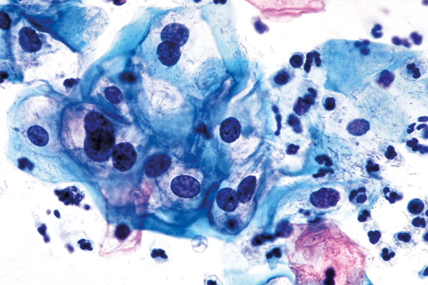
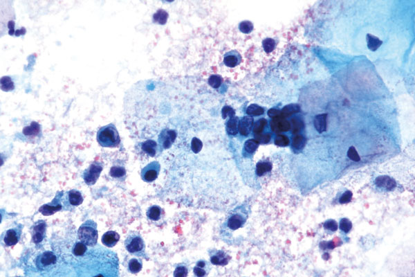
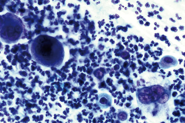
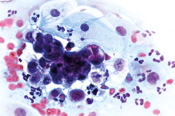
c. Zervikales Adenokarzinom (V-g)
- Lockere, verbandartige Lagerung
- deutlich größere Kerne als bei normalen Endozervikalzellen
- Zellen nicht wesentlich größer normale Endozervikalzellen
- Hyperchromasie, aber häufig feines Chromatin
- Auffällige Nucleolen
November
richtige Antwort:
b. Infiltration des Urothelkarzinoms (V-x)
- Verschiebung der Kern-Plasma-Relation
- häufig Mehrkernigkeit
- deutlich größer als die normalen Schirmzellen des Urothels
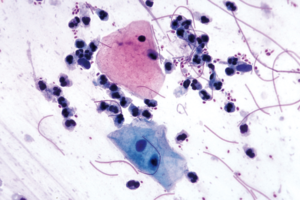
Oktober
richtige Antwort:
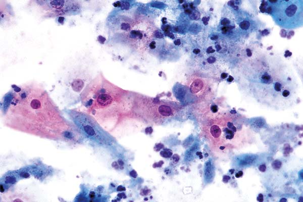
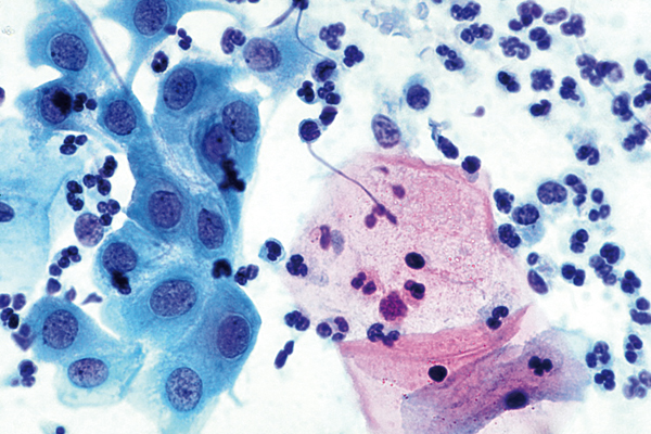
d. Trichomonadenkolpitis (I)
- Vorkommen meist mit bakterieller Mischflora
- Unscheinbare Gebilde mit zyanophilem Zytoplasma
- Angedeuteter Zellkern und rote Körnelung im Zytoplasma
- Starke entzündlich degenerative Begleitreaktion
September
richtige Antwort:
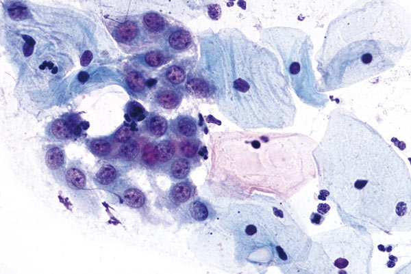
c. Endozervikale Reservezellen (I)
- kleine unreife Zellen, die den Basalzellen des Plattenepithels ähneln
- die Kerne füllen weitestgehend die gesamte Zelle aus
- sie liegen zwischen der Basalmembran und einreihigen Zylinderepithel des Endozervixepithels und reifen zur Plattenepithelmetaplasie aus
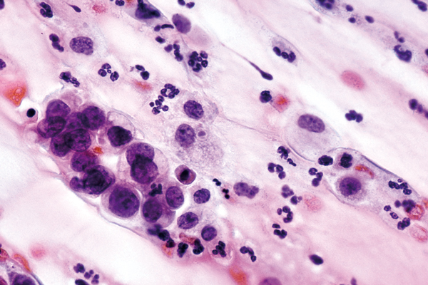
August
richtige Antwort:
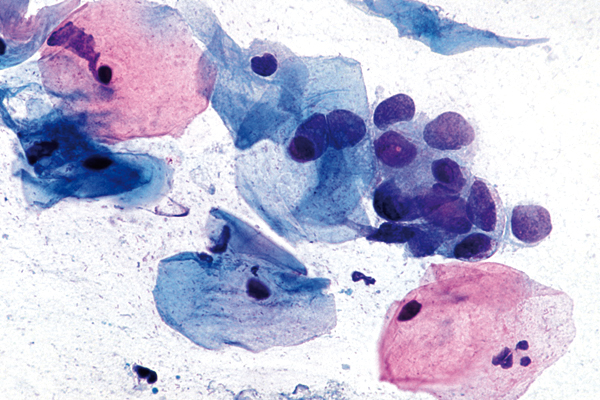
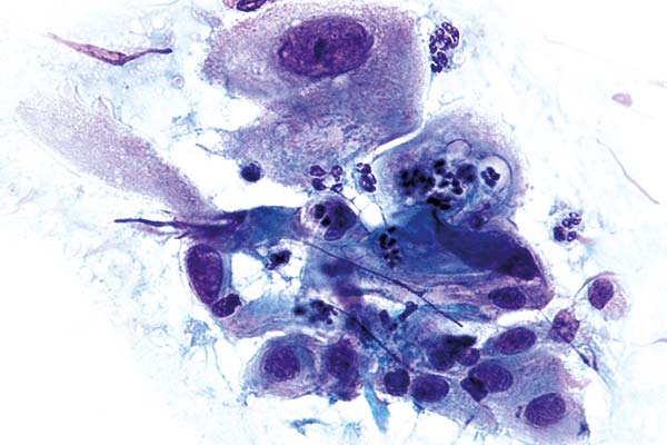
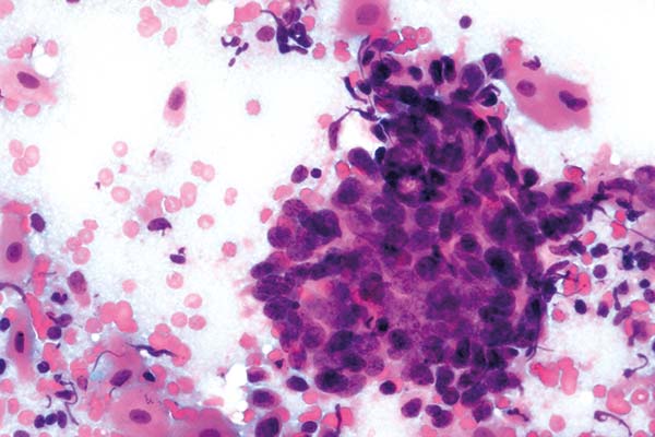
b. Rektumkarzinom (V-x)
- große atypische Drüsenzellen in pallisadenartiger Anordnung
- Makronucleolen und stark vergröbertes Chromatin
Juli
richtige Antwort:
c. Strahlenreaktion (I)
- unregelmäßig vergrößerte Zellen und Zellkerne
- die Kern-Plasma-Relation bleibt erhalten
- häufig leukozytäre Begleitreaktion
Juni
richtige Antwort:
a. Zellen eines Ovarialkarzinoms
- unregelmäßiges, vergröbertes Chromatin der Zellkerne
- Vakuolisierung des Zellplasmas
- häufige Lagerung in Haufen oder größeren Gruppen
- Psammonkörperchen können fehlen und sind kein Hinweis auf Malignität
- Adenopapilläre Struktur der Tumorzellen
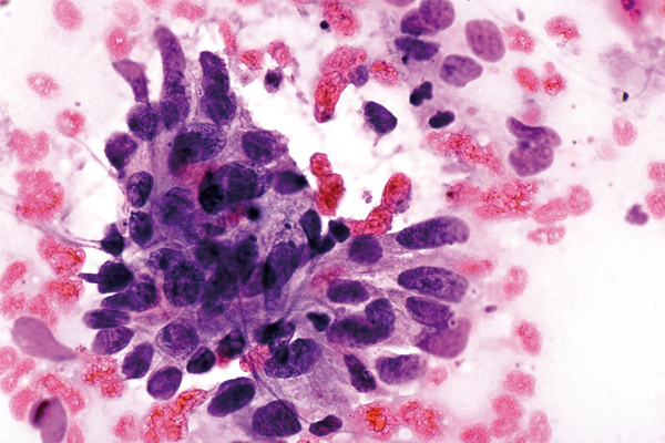
Mai
richtige Antwort:
d. Kleinzelliges Plattenepithelkarzinom (V-p)
- liegt in sehr lockeren Gruppen
- rundlich bis ovale, entrundete Zellkerne; in der Größe sind sie relativ gleichförmig
- stark vergröbertes Kernchromatin
- Tumordiathese
April
richtige Antwort:
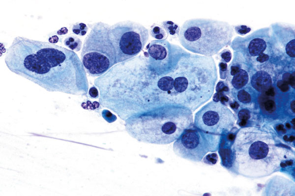
d. Ausreifende Metaplasie (I)
- gleichförmige runde, feingranulierte Zellkerne
- z.T. kleine unauffällige Nucleolen
- zyanophiles Zytoplasma
- normale Kern-Plasma-Relation
- bei reiferen Metaplasien vermehrt Einzelzelllagerung
März
richtige Antwort:
b. Metastase des bekannten Melanoms (V-x)
- große atypische Zellen und Zellkerne mit auffälligen Nucleolen im Zellkern
- man findet ausschließlich maligne, isolierte Zellen mit zyanophilem Zytoplasma
- extreme Verschiebung der Kern-Plasma-Relation
- beim melanotischen Melanom finden sich Melaninablagerungen im Zytoplasma
Februar
richtige Antwort:
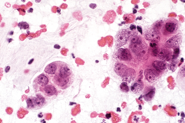
c. Adenokarzinom des Endometrium (V-e)
- deutlich größere Zellen als bei normalem Endometrium
- Tumordiathese im Hintergrund mit frischen und zerfallenen Ery’s
- Mit zunehmender Entdifferenzierung nimmt die Zell- und Kerngröße zu
- Deutliche Anisonukleose
Januar
richtige Antwort:
a. Atypische Regeneration (II-p)
- Bei schwerer akuter oder chronischer Entzündung
- Bei mechanischer Verletzung des Oberflächenepithels
- Ausreifungsstörungen und zelluläre Atypien, die mit Neoplasien verwechselt werden können
- Es finden sich aber keine abnormen Mitosestrukturen
2016
Dezember
richtige Antwort:
b. schwere Dysplasie (IVa-p)
- Zellen aus mittleren und basalen Zellschichten treten auf
- wenig Zytoplasma, starke Verschiebung der Kern-Plasma-Relation zugunsten des Kernes
- z.T. starke Anisokaryose
- unregelmäßige Chromatinverteilung, z.T. mit Chromozentren
- sauberer Präparatehintergrund
November
richtige Antwort:
d. degenerative Endocervikalzellen und Flimmerepithelzelle (I)
- überwiegend einzeln liegende Zellkerne bei sich auflösenden sekretorischen Zylinderzellen
- gleichgroße und runde Zellkerne
- einzelne sekretorische, zilientragende Endozervikalzelle mit becherförmigem Zellleib, häufig zanophilem Zytoplasma
Oktober
richtige Antwort:
b. Adenokarzinom des Endometrium (V-e)
- typische Tumordiathese im Hintergrund
- häufiges Vorhandensein von Histiozyten und Leukozyten
- je differenzierter, desto ähnlicher ist es normalem Endometrium
- mit zunehmender Entdifferenzierung nimmt die Zellgröße zu
- vakuoliges Zytoplasma, rosettenartige Anordnung und relativ geringe Anzahl an Tumorzellen
September
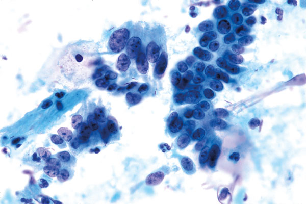
richtige Antwort:
d. Adenocarcinom der Endozervix (V-g)
- Zellverbände mit dichtgelagerten, sich zum Teil überlappenden Zellkernen
- Hyperchromasie
- Kernvergrößerung gegenüber normalem Endozervixepithel, jedoch in der Gruppe eher gleichbleibend groß
- in der Regel nicht so viele Tumorzellen wie beim Plattenepithelkarizinom, aber höher als beim Endometriumkarzinom
- Kerngöße steigt mit zunehmender Entdifferenzierung
August
richtige Antwort:
d. Regeneration (I)
- fischzugartige Anordnung der Zellkerne
- gleichförmig runde bis ovale Zellkerne
- deutliche Nucleoli
- Lagerung in Verbänden oder lockeren Gruppen
Juli
richtige Antwort:
a. Mittlere Dysplasie IIID 2
- überwiegend dysplastische Zellen mit dem Reifegrad der kleinen Intermediärzellen
- die Verschiebung der Kernplasmarelation nimmt zugunsten des Kernes zu
- Dysplasiemerkmale in Form von Hyperchromasie, Kernvergrößerung, Kernentrundung, Anisokaryose und vergröberter Chromationstruktur
Juni
richtige Antwort:
c. Degenerative Metaplasie mit Vakuolen (I)
- man findet häufig Zellen mit zyanophilem Zytoplasma und einer deutlichen Unterscheidung zwischen dem helleren Endoplasma und dem dunkler angefärbten Ektoplasma
- aufgrund entzündlich degenerative Vorgänge finden sich vereinzelt unterschiedlich große Vakuolen im Zytoplasma
- mit zunehmender Ausreifung nehmen die Zellen die Form von Intermediärzellen an
Mai
richtige Antwort:
a. Herpes genitales (I)
- ballonartig aufgetriebene Zellkerne
- es finden sich Riesenzellen und Mehrkernigkeit in einem entzündlich veränderten Präparatehintergrund
- Kerne haben mattglasähnliches Aussehen, da die Struktur der Kerne verloren geht
- des Weiteren findet man Einschlusskörperchen in den Zelkernen, die in der Regel größer als Nucleoli sind
April
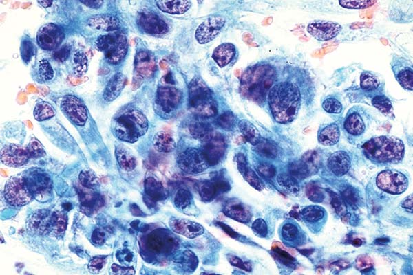
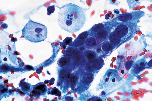
richtige Antwort:
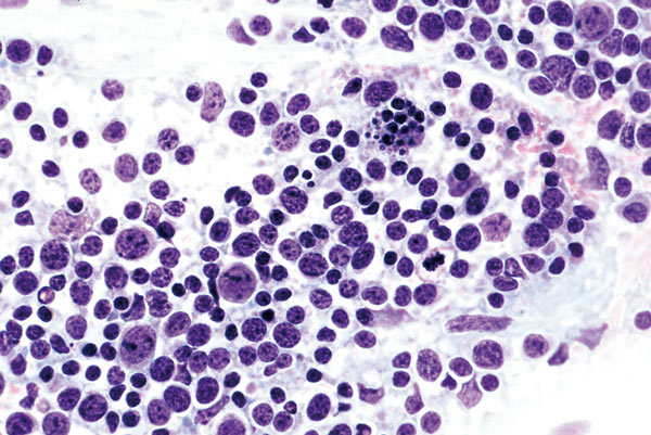
e. follikuläre Cervicitis (I)
- reichlich unreife und reife Lymphozyten mit vergröbertem Chromatin in rundlichen bis ovalen Zellen mit schmalen Zytoplasmasaum
- vom nicht verhornten Plattenepithelkarzinom unterscheiden sie sich durch ihre geringere Größe und dem eher gleichmäßig vergröbertem Chromatin der Zellkerne
- paralleles Vorkommen von Plasmazellen und Histiozyten
März
richtige Antwort:
a. Plattenepithelkarzinom (V-p)
- Tumordiathese
- Polymorphe Tumorzelle
- unterschiedliche Kern- und Zellgrößen mit Verschiebung der Kern-Plasma-Relation
- z. T. spindelige, verhornende Plattenepithelzellen mit pyknotischem Zellkern
Februar
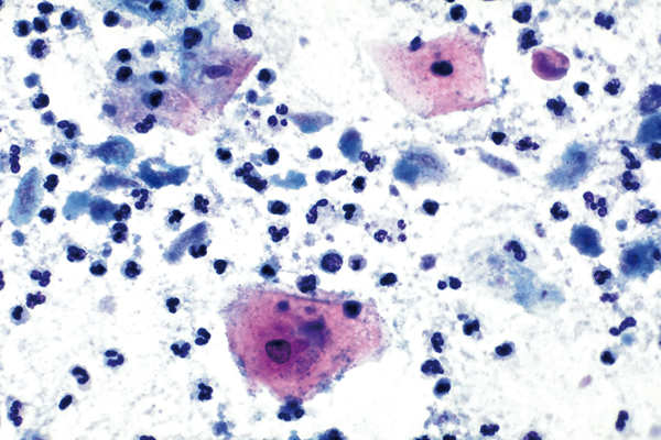
richtige Antwort:
d. Histiozytäre Riesenzelle
- man findet sie häufig bei Entzündungen und nach operativen Eingriffen
- polymorphes Erscheinungsbild mit häufig vakuolisiertem Zytoplasma
- gleichmäßige Form und Größe der Zellkerne
Januar
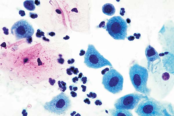
richtige Antwort:
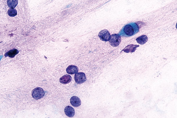
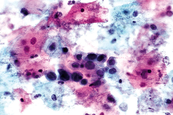
c. Metastase des bekannten Mammakarzinoms (V-x)
- zytologische Merkmale des Primärtumors
- helles Zytoplasma
- geringe Größenunterschiede der einzelnen Zellen
- entrundete, leicht eingekerbte Zellkerne mit eher feinkörnigem Chromatin
2015
Dezember
richtige Antwort:
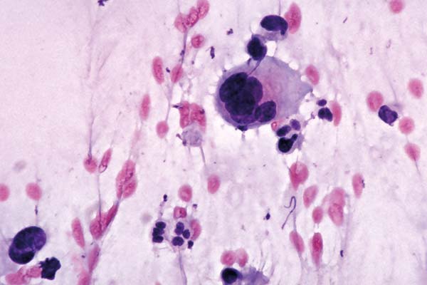
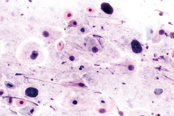
a. Trichomonaden
- im Papanicolaou gefärbten Präparat erscheinen sie meist blass und unförmig
- die Geißeln sind nur äußerst selten zu erkennen
- angedeuteter Kern meist zart zyanophil
- auffallend rote Granula im Zellplasma
- stark entzündlicher Präparatehintergrund
November
richtige Antwort:
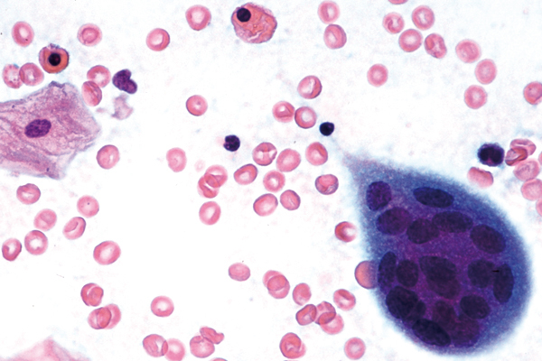
a. Sycytiotrophoblast
- bei Abortus incompletus auftretende Trophoblasten mit dunklem fein vakuolisiertem Zytoplasma
- enthält zahlreiche, meist gleichgroße runde und ovale Zellkerne
- umgeben von reichlich Erythrozyten
Oktober
richtige Antwort:
e. Strahlenreaktion, Gruppe II-p
- Vakuolisierung des Zellplasmas
- Größenzuname der Zellen durch gestörte Zellteilung
- Vereinzelt Deformierung des Zellkerns der durch die Vakuolen an den Zellrand gedrückt wird
- Pseudoeosinophile Anfärbung des Zytolplasmas
- Kernvergrößerung erdt Tage nach der Bestrahlung
- Mehrkernigkeit, jedoch feinkörniges Kernplasma
- Keine Verschiebung der Kern-Plasma-Relation
September
richtige Antwort:
d. nicht verhorntes Plattenepithelkarzinom, Gruppe V-p
- reichlich zyanophiles Zytoplasma
- aufgelockertes Chromatin in stark vergrößerten Zellkernen
- deutlicher Kontrast zwischen Eu- und Heterochromatin
- Tumorzellen sehr unterschiedlicher Größe und Form
- Vergrößerte Nucleoli
- Tumordiathese
August
richtige Antwort:
c. Metastase Ovarialkarzinom, Gruppe V-x
- relativ große Tumorzellen
- unregelmäßig verteiltes Chromatin
- drüsige, rosettenartige Lagerung
- deutliche Nucleolen
- Anamnese gibt häufig den Hinweis
Juli
richtige Antwort:
b. Mykose und Leptothrix
- fadenförmige Bakterien
- keine Septierung erkennbar, nicht zu verwechseln mit den Hyphen bei Mykose
- neben den Bakterien liegen an den Zellen die Sproßzellen der Mykose
Juni
richtige Antwort:
d. ausreifende Metaplasie
- treten bei Umwandlungen von Ektopien an der Ektocervix auf
- dient als Schutzmechanismus des Organismus
- verschiedene Reifungsstufen von der Reservezellhyperplasie über die unreife zur ausreifenden Metaplasie
- zytologisch sieht man zyanophile Zellen mit dichtem Zytoplasma und gelegentlichen Aufhellungen
- die Kerne sind isomorph mit vereinzelten Nucleolen
- keine Hyperchromasie und keine Anisokaryosen
Mai
richtige Antwort:
b. Endometriumkarzinom, Gruppe V-e
- Tumorzellen liegen häufig in drüsigen oder rosettenartigen Verbänden
- die Zellen sind hier deutlich vergrößert, was jedoch vom Differenzierungsgrad abhängt
- Tumordiathese; Erys, Leukos und Histiozyten
- mehrere Nukleoli in den Zellkernen
- zum Teil vakuoliges Zytoplasma, wodurch die Zellkerne an den Zellrand gedrückt werden
April
richtige Antwort:
e. Metastase des bekannten Kolonkarzinoms, GruppeV-x
- palisadenartige Anordnung der Drüsenzellen
- Große polymorphe Zellkerne mit Makronukleolen
- nicht immer sauberer Präparatehintergrund
- erklärt sich (wenn wie hier angegeben) eventuell schon aus der Anamnese
März
richtige Antwort:
a. pH-Wert im sauren Bereich
Die Döderleinbakterien lysieren das Glykogen aus den großen Intermediärzellen heraus und bilden daraus Milchsäure. Der dadurch sinkende pH-Wert im Vaginalsekret verhindert das Ansiedeln fremder Keime. Ein physiologischer Vorgang.
Februar
richtige Antwort:
a. blue blobs
- rundliche Gebilde, die Tumorzellen ähneln
- im inneren häufig eine stärkere Verdichtung
- dabei handelt es sich wahrscheinlich um Schleim-Eindickungen
- verschwinden aber nach Follikelhormongabe
Januar
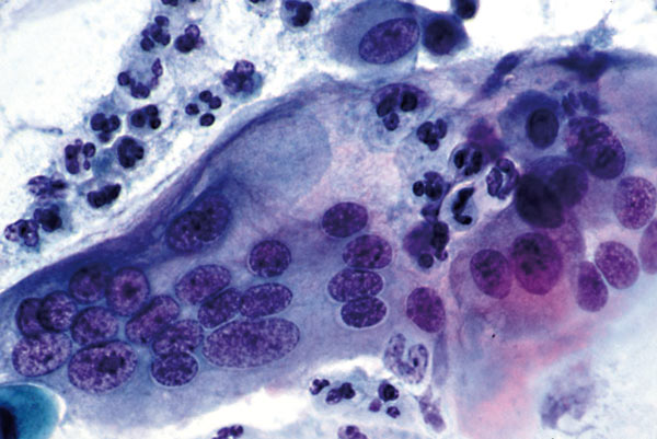
richtige Antwort:
c. ACIS
- Zellverbände häufig mit überlappenden Kernen
- deutlich größere Zellkerne als bei normalen Endozervikalzellen
- Kerngröße innerhalb des Verbandes einheitlich
- selten Nucleoli
- mäßige Körnelung des Chromatins
2014
Dezember
richtige Antwort:
e. follikuläre Zervicitis
- massenhaft reife und unreife Lymphozyten
- Histiozyten und Plasmazellen
- Phagozytose von „Kerntrümmern“ ( Kerntrümmermakrophagen; „Sternhimmelzellen“)
- kommt rasenförmig verbreitet nur in bestimmten Abschnitten des Präparates vor
- unreife Lymphozyten sind im Vergleich zu Tumorzellen relativ klein
November
richtige Antwort:
d. mittlere Dysplasie, CIN 2
- hyperchromatische und entrundete Kerne
- 2-3 mal so groß wie normale Zellkerne
- reicht bis in die mittleren Schichten des Zervixepithels (große und kleine Intermediärzellen)
Oktober
richtige Antwort:
e. deziduale Reaktion
- dezidual umgewandelte Stromazellen
- liegen häufig in lockeren Verbänden
- transparentes Zytoplasma
- gelegentlich auch eosinophil
- Kerne groß, oval und leicht entrundet
September
richtige Antwort:
b. Post-Partum Zellbild
- atrophisches Zellbild zwischen dem 5. und 7. Wochenbetttag
- enthalten reichlich Glykogen und bekommen daher das charakteristische Aussehen, da der äußere Zellrand verdickt erscheint
- die z.T. pyknotischen Kerne liegen randständig
August
richtige Antwort:
a. Wurmei (Oxyoriasis)
- große, glattumrandete Gebilde mit häufig doppelt konturiertem Rand
- liegt isoliert
Juli
richtige Antwort:
c. embryonales Rhabdomyosarkom
- Zellen liegen isoliert
- Zeigen keinen besonderen Zusammenhang
- erhebliche Variationsbreite in Größe und Form
- Zellen die von einem Weichteiltumor der Skelettmuskulatur herrühren
- geht von der seitlichen Scheidenwand aus und wächst zunächst subepithelial, traubenförmig
- höchste Inzidenz bei Kindern unter 6 Jahren
Juni
richtige Antwort:
a. atrophische Kolpitis
- deutliche Entzündungszeichen am atrophischen Epithel
- Karyorrhexis und Karyopyknose in Folge der Autolyse
- keine Verschiebung der Kernplasmarelation
Mai
richtige Antwort:
b. CIN 1 mit HPV
- Epithelien der oberen Schichten
- deutliche Zeichen einer HPV Infektion
- ausgeprägte Kilozytose
April
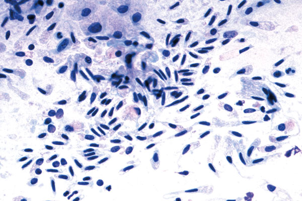
richtige Antwort:
d. spindelige CK Zellen
- die Endocervix- Zellen sind sehr variabel in der morphologischen Erscheinungsform
- langgestreckte, schlauchähnliche Formen sind durchaus möglich
- häufig sind noch Flimmerhärchen zu erkennen (Zilien)
- Zytoplasma meist zyanophil
März
richtige Antwort:
c. Adenocarcinom der Endozervix
- vergrößerte Kerne und deutliche Nucleolen
- hohe Zellzahl an Drüsenzellen
- Zellen locker gelagert, teilweise auch in azinärer oder papillärer Anordnung
- unterschiedliche Größe der Zellen und Zellkerne
- Kerngröße steigt bei zunehmender Entdifferenzierung der Zellen
Februar
richtige Antwort:
d. AIS Adenoca in situ
- deutlich größer als normale Endozervikalzellen
- Kerngröße innerhalb des Verbandes ziemlich einheitlich
- mäßige Körnelung des Chromatins
- Nukleoli und Chromozentren
Januar
richtige Antwort:
a. Endometrium
- werden physiologisch nur bei uterinen Blutungen abgeschilfert
- man unterscheidet Epithel-und Stromazellen
- Epithelzellen sind in der Regel sekretorische Drüsenzellen
- es sind kleine und polygonale Zellen
- in der Seitenansicht sind gelegentlich Zilien erkennbar
- Kerne rund bis oval und einheitlich groß
- Stromazellen etwas variationsreicher, häufig von Histiozyten, Lymphozyten und Plasmazellen schwer zu unterscheiden















































