4/2016

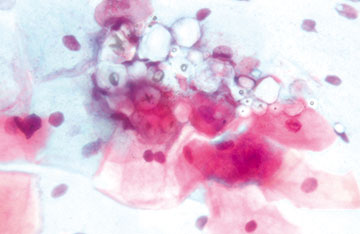
Bild 1
Alter der Patientin: 60 Jahre
Klinischer Befund: Hormonmangel
a. Atrophie mit Degeneration
b. Schwere Dysplasie
c. blue blobs
d. Plattenepithelkarzinom

Bild 2
Alter der Patientin: 34 Jahre
Klinischer Befund: Ovulationshemmer
a. Lufteinschlüsse
b. Talkumkristalle
c. Fixierungsartefakt
d. Pollen

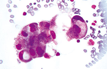
Bild 3
Alter der Patientin: 45 Jahre
Klinischer Befund: Zustand nach Ovarialkarzinom St. III
a. Endozervikales Adenokarzinom
b. Endozervikales Adenocarcinoma in situ
c. Metastase des bekannten Ovarialkarzinoms
d. Endometriumkarzinom

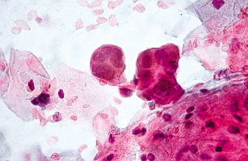
Bild 4
Alter der Patientin: 22 Jahre
Klinischer Befund: Fluorbeschwerden
a. Trichomonadeninfektion
b. Candidakopitis
c. HPV-Verdacht
d. leichte Dysplasie

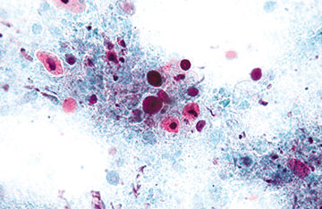
Bild 5
Alter der Patientin: 72 Jahre
Klinischer Befund: Postmenopausenblutung
a. Tumorzellen
b. Parakeratosezellen
c. blue blobs
d. Trichomonadeninfektion

Bild 6
Alter der Patientin: 45 Jahre
Klinischer Befund: Aszites
a. Verdacht auf Colonkarzinom
b. Verdacht auf Ovarialkarzinom
c. Verdacht auf Mammakarzinom
d. Verdacht auf Endometriumkarzinom
Gynäkologische Zytologie
Frage 1
Welcher Farbstoff ist bei der Papanicolaou-Färbung vornehmlich für die Kernfärbung?
a. Hämatoxylin
b. Orange G
c. Polychrom EA 50
d. Keine der genannten Farblösungen
Frage 2
Blue blobs im Zellbild sind zu beobachten
a. Bei Patientinnen mit Kupfer-IUP
b. Bei Patientinnen während einer Schwangerschaft
c. Bei Patientinnen in der Postmenopause
d. Bei Patientinnen mit Gestagen Kontrazeption
Frage 3
Welcher Zelltyp ist glykogenhaltig?
a. Metaplasiezellen
b. Endozervikale Zylinderzellen
c. Histiozyten
d. Intermediärzellen
Frage 4
Zervikale Adenokarzinome entwickeln sich aus
a. Deziduazellen
b. Stromazellen
c. Bipotenten endozervikalen Reservezellen
d. Basalzellen
Frage 5
Was ist im zytologischen Abstrich nicht erkennbar?
a. Plasmodium
b. Trichomonaden
c. Haemophilus
d. Lymphozyten
Extragenitale Zytologie
Frage 6
Im Urinsediment sind folgende kristalline Bestandteile nur im alkalischen Urin auffindbar?
a. Amorphe Erdalkaliphosphate
b. Calciumoxalate
c. Urate
d. Harnsäurekristalle
Frage 7
Bei einem hämatologischen Blutbild der Eosinophilie ist welche der u. g. Diagnosen am wahrscheinlichsten?
a. Virusinfektion
b. Morbus Hodgkin
c. Non-Hodgkin Lymphom
d. Allergische Reaktion